





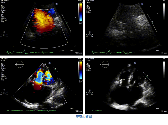
2021年12月7日,復旦大學附屬中山醫院葛均波院士團隊完成的首批兩例LuX-Valve Plus經血管三尖瓣置換患者順利出院,從患者入院至出院僅歷時一周時間,出院時患者狀態恢復良好,復查心超三尖瓣無反流。

兩例患者是都是外科手術高危的極重度三尖瓣反流的老年女性,反復下肢水腫、腹脹、納差,活動耐力減退。一例患者風濕性心臟病,二尖瓣生物瓣置換術后,房顫,心超顯示三尖瓣極重度反流(最大反流寬度15mm);另一例患者房顫,心超示三尖瓣極重度反流(最大反流寬度23mm)。
兩例患者入院后,葛均波院士及其團隊周達新教授、潘文志教授、張源博士、陳莎莎博士及心超室的潘翠珍教授、李偉教授對患者的情況進行了詳細討論和評估,決定采用LuX-Valve Plus經血管三尖瓣置換系統為患者進行手術治療。

結合術前CT評估結果,葛均波院士團隊最終決定選用LuX-Valve Plus 50mm和55mm兩種型號的瓣膜,并于2021年11月30日順利完成LuX-Valve Plus經血管三尖瓣置換術,手術室即刻拔除氣管插管,術后第二天轉出心內科監護室,下床活動。術后患者三尖瓣反流癥狀得到顯著改善,復查心超結果顯示人工三尖瓣瓣膜支架固定穩定,瓣葉關閉形態未見異常,未見明顯反流。


LuX-Valve是一種非徑向支撐力原位經血管三尖瓣置換裝置。相較于傳統的依賴徑向支撐力的器械相比,LuX-Valve的錨定方式能更好地適應三尖瓣組織菲薄脆弱的特性,瓣膜選擇大小可基于有效的三尖瓣孔面積,而不是擴張的三尖瓣環。在LuX-Valve獨具優勢的基礎上,LuX-Valve Plus對輸送系統進行了全面升級,實現了經頸靜脈入路,進一步減少了手術創傷和風險。