





近日,復旦大學附屬中山醫院葛均波院士、周達新教授團隊,聯合心外科王春生、魏來主任,麻醉科繆長虹、郭克芳主任,于2021年11月14日進行多學科聯合救治的兩例極重度三尖瓣反流的患者,完成了一年的隨訪工作。目前患者身體恢復良好,狀態極佳。隨訪心臟超聲提示LuX-Valve Plus人工三尖瓣瓣架固定穩定,無三尖瓣反流和瓣周漏。此次LuX-Valve Plus的1年成功隨訪體現了葛均波院士團隊在三尖瓣介入治療研究領域的領先地位及不斷探索的精神,也進一步驗證了LuX-Valve Plus經血管三尖瓣置換系統的臨床安全性和有效性。


LuX-Valve Plus早期救治性臨床研究入組的首兩例患者均接受過二尖瓣人工瓣膜置換手術,術前NYHA心功能均為Ⅲ級,極重度三尖瓣反
流并分別伴有房顫和房撲,高外科手術風險。術前超聲提示,兩例患者下腔靜脈寬度分別為13mm和29mm,右房內徑(上下徑和左右徑)分別為52×41mm和53×43mm,彩色多普勒顯示極重度三尖瓣反流,VCW分別為14×15mm和10mm。
1年前,兩例患者因難治性雙下肢水腫輾轉多家醫院尋求救治,考慮到兩例患者高齡、基礎疾病多、STS評分高,不適合傳統外科開胸手術,葛均波院士及其團隊周達新教授、潘文志教授、張源博士、陳莎莎博士、陳丹丹博士聯合心外科王春生、魏來主任,麻醉科繆長虹、郭克芳主任以及心超室的潘翠珍教授、李偉教授共同討論決定,采用我國創新器械LuX-Valve Plus經血管三尖瓣置換系統為患者進行手術。相較于第一代產品LuX-Valve,LuX-Valve Plus經血管三尖瓣置換系統對輸送系統進行了全面升級,實現了經頸靜脈入路的方式,進一步減小了手術風險和對患者的創傷。目前隨訪1年心超結果顯示,三尖瓣極重度反流消失,人工三尖瓣瓣膜穩定牢固,瓣葉活動度良好,右心室及下腔靜脈明顯縮小,心輸出量增加。兩位老人手術后沒有出現過胸悶氣促的癥狀,下肢水腫緩解,活動耐力提升,生活質量也大為提高。

圖1 患者術后切口,右頸靜脈入路傷口愈合良好


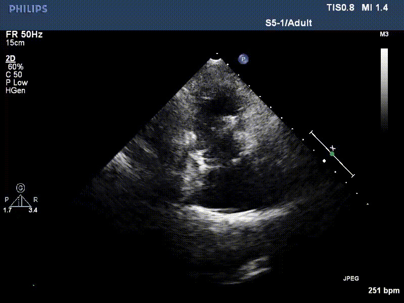
圖2 患者植入LuX-Valve Plus后,1年隨訪心超提示無三尖瓣反流
一直以來三尖瓣被稱為是“被遺忘的瓣膜”,但隨著全球老齡化的日益加重,三尖瓣反流的高發病率和死亡率不容小覷。目前,LuX-Valve Plus全國多中心FIM研究已全部完成入組,以葛均波院士團隊作為主要研究者的LuX-Valve Plus全國確證性臨床研究也在有序入組中。LuX-Valve Plus自設計開發就得到了葛均波院士及其團隊的精心指導,多次的臨床實踐證明了瓣膜植入過程中的穩定性和安全性,進一步降低了手術風險和對患者的創傷,使得經血管三尖瓣置換朝著更加微創化、介入化的方向邁進,相信今后將有更多的三尖瓣重度反流患者可從LuX-Valve Plus經血管三尖瓣置換術中獲益。