





近日,國際著名結構性心臟病專家,法國CHU de Bordeaux醫院心外科的Thomas Modine教授和Lionel Leroux教授團隊成功于歐洲連續完成兩例LuX-Valve Plus確證性臨床研究入組,目前患者身體恢復良好。隨著LuX-Valve Plus全球確證性臨床研究的不斷順利推進,標志著我國創新型心血管介入產品正逐步獲得海外頂尖臨床中心的廣泛認可。


第一名患者是一位83歲的女性,術前TTE診斷TR等級4+,既往有高血壓和持續性房顫的病史。術者通過右頸靜脈入路的方式將輸送系統送入右心房,在DSA和TEE的引導下對輸送系統進行調彎和推送,將輸送系統送至右心室目標位置,接著調整其同軸性,使輸送系統在多個超聲引導平面下都垂直于三尖瓣瓣環。隨后開始釋放主體支架,錨定片與夾持件放出后,在TTE的引導下確認了兩個夾持件分別在三尖瓣前葉和后葉的瓣下,且支架整體深度合適后,術者完整地釋放出整體支架。術者在DSA和TEE引導下確認了錨定片完美貼合室間隔,再次確認了瓣膜位置與同軸性良好后,通過獨有的錨定針將錨定片與室間隔固定,接著將瓣膜與輸送系統解離,完成手術。術后即刻瓣膜形態穩定,輕微反流殘留,反流下降2+以上。患者術后七天復查,經胸超聲檢查提示患者右心功能明顯改善,僅可見輕微反流。

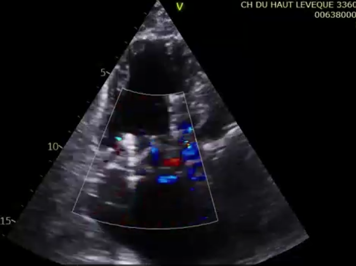
術前超聲提示極大量三尖瓣反流

術后超聲提示微量瓣周漏
第二名患者是一位79歲的女性,術前TTE診斷TR等級4+,既往有高血壓、腎功能不全、肺動脈高壓的病史。術者在擁有第一臺手術的經驗后,在TEE和DSA的引導下非常順利地完成瓣膜的釋放,術后瓣膜形態穩定,TEE提示即刻反流0+。患者術后七天TTE復查提示無明顯三尖瓣反流,瓣膜整體形態非常穩定。

術前超聲提示大量三尖瓣反流

術后超聲提示微量瓣周漏
Thomas Modine和Lionel Leroux在術后給與LuX-Valve Plus高度肯定,術者認為使用這款TTVR產品,手術操作及影像引導都較為簡單,術后效果好,給三尖瓣反流的患者帶來了福音。
LuX-Valve Plus經血管三尖瓣置換系統在全球范圍內率先引用“非徑向支撐力”和“室間隔固定”的設計理念(即采用貼靠支撐和室間隔錨定的方式進行人工瓣膜的固定),能更好適應三尖瓣結構菲薄脆弱的特性,并且采用經頸靜脈入路的方式,對患者的損傷進一步減小,同時為術者提供了便捷的術中操作方式。
目前, LuX-Valve Plus全國多中心確證性臨床研究已完成全部入組,并正在歐洲大規模開展CE MARK注冊臨床入組。LuX-Valve Plus全球救治性臨床研究在北美、歐洲等國家的成功開展,獲得了歐美頂尖臨床中心的高度認可和支持:
Prof. Thomas Modine
法國波爾多大學醫學院(CHU de Bordeaux)
“臨床上的痛點之一是有很多外科手術高危的病人由于瓣環過大而無法用其他的經導管介入器械治療。在海外應用中LuX-Valve系列產品目前可以覆蓋更大的瓣環直徑,這意味著給醫生提供了更多樣化的選擇,也給這批病人帶來了福音。”
Prof. Rodrigo Estévez-Loureiro
西班牙阿爾瓦羅昆奎羅醫院 (Hospital Álvaro Cunqueiro)
“LuX-Valve Plus的手術體驗非常好。術后即刻超聲顯示三尖瓣反流幾乎完全消失,血流動力學改善顯著,患者恢復快。在面對復雜解剖結構、超聲影像質量不佳、有起搏導線干擾時,Lux-Valve Plus也體現了極強的適應性。”
Prof. Jörg Hausleite
德國慕尼黑大學(Medizinische Klinik undPoliklinik l, Klinikum der Universitat Munchen, Munich.Germany)
“LuX-Valve Plus術中操作非常便捷,容錯率高,對術中影像的依賴較小,希望可以更多的應用LuX-Valve Plus三尖瓣置換系統于臨床實踐,讓更多的三尖瓣重度反流患者盡早獲益,改善預后。”
三尖瓣又被稱為“被遺忘的瓣膜”,但實際上三尖瓣疾病發病率及死亡率高已成為行業難點,且全球范圍內尚無有效的治療手段。經導管三尖瓣置換術是治療三尖瓣反流的一種創新型微創手術方式,有效改善了患者的預后,提高了患者的生活質量。而健世科技自主研發的三尖瓣置換LuX-Valve系列產品在設計理念、治療效果、進度上全球領先,填補了三尖瓣反流領域的市場空白,一代產品LuX-Valve預計將成為全球首批商業化的三尖瓣置換產品,隨著二代產品LuX-Valve Plus在北美、歐洲地區商業化的拓展,將有更多的三尖瓣反流患者于此獲益。
隨著LuX-Valve Plus歐洲CE MARK臨床入組的順利開展亦證明了其產品的安全性和有效性,適用于更廣泛的患者及滿足不同解剖結構的臨床需求。期待產品能盡早完成海外臨床試驗并注冊拿證,相信未來憑借中國自主原創技術的崛起,中國創新醫療器械在引領國際標準上將取得更多成就,造福全球患者。